健康科普

您的位置: 首页 > 健康科普 > 健康科普 > 正文

【钦二医生说】备孕总是没结果?要看子宫里是否有“不速之客”

发布时间:2025-04-23阅读次数:
子宫里的“不速之客”

张女士31岁,结婚两年,婚后开始备孕,一直没能成功,经朋友介绍来找到我院妇科陈丽华主任,经过详细的病史询问及完善相关检查,张女士月经期延长至8-9天,妇科超声提示;考虑子宫内膜息肉可能性大。医生建议施行宫腔镜手术进行治疗。得到检查结果,张女士内心非常忐忑,无法理解子宫内膜有息肉和备孕不成功之间的联系。

陈丽华主任表示:“如果把子宫比作孕育生命的土壤,子宫内膜就是每月周期性翻新’的沃土。但有时,局部内膜细胞会异常增生,形成带蒂的小肉疙瘩,这就是子宫内膜息肉。临床数据显示,约25%的不孕女性存在内膜息肉,且随着年龄增长,发病率从20岁前的5%上升到40岁后的25%。

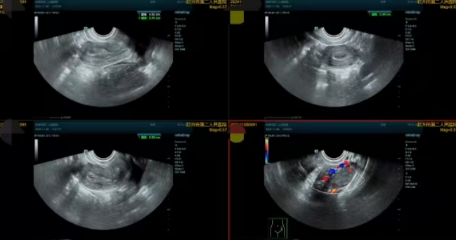
▲子宫内膜息肉患者超声所见

 
 
 

▲宫腔镜下子宫内膜息肉所见(术前、术后对比)

 

 

▲子宫内膜息肉病理改变

 

经过耐心的解释,张女士随后在我院办理了日间宫腔镜手术,当天办理住院,当天完成手术,术后一天即可办理出院。术后3个月,通过监测排卵指导同房,成功怀孕了。

哪些信号可能提示子宫内膜息肉呢?

 

经期延长:月经总拖尾7天以上

 

 

经间期出血:排卵期莫名少量出血

 

 

经量异常:突然出现"血崩"或经血淋漓

 

 

备孕困难排卵正常却久备不孕

 

 

值得注意的是,约30%的患者毫无症状,直到体检或排查不孕原因时才被发现。建议备孕超过1年未孕者,都应进行宫腔镜检查。

为何子宫内膜息肉会成为生育"绊脚石"?

 

物理阻挡:息肉就像子宫里的“路障”,干扰胚胎着床

 

 

炎性环境:异常增生的组织可能释放炎性因子

 

 

血流异常:改变子宫内膜的血供分布

 

 

容受性下降:影响内膜对胚胎的接受能力

 

 

研究显示,直径>1cm的息肉可使妊娠率下降50%,即使成功怀孕,流产风险也会增加2-3倍。

宫腔镜手术:微创解决大问题
“医生,做手术会不会伤到子宫?”这是患者最常见的担忧。如今采用的宫腔镜技术,通过自然腔道进入,创伤小、恢复快:

 

术前准备:月经干净3-7天最佳

 

 

手术过程:静脉麻醉下30分钟内完成

 

 

术后恢复:出血通常3-5天停止,次月即可备孕
国际指南建议:所有影响生育的息肉都应切除,术后妊娠率可达63%-82%。

防胜于治,这些要点要牢记

 

控制慢性炎症:及时治疗阴道炎、宫颈炎

 

 

管理激素水平:避免滥用保健品,多囊卵巢患者需规范治疗

 

 

保持健康体重BMI≥30者风险增加3倍

 

 

定期妇科检查:尤其出现异常出血时

陈丽华主任医师给女性的健康提醒

子宫内膜息肉不是洪水猛兽,但需要科学对待。记住:了解身体发出的信号,及时寻求专业帮助,才是守护生育力的关键。

 

专家简介

 

 

张桂萍

 

主任医师

 
图片
主任医师,妇产科主任,曾到北京协和医院进修学习。广西医学会妇科肿瘤学分会第三届委员会委员,广西中西医结合学会妇科内镜专业委员会第一届委员,广西抗癌协会妇科专业委员会委员。完成科研课题5项,获得市科技进步三等奖1项,发表专业论文20余篇。获2021年钦州市“百名优秀医师”荣誉称号,获2021、2022年钦州市第二人民医院“优秀柳叶刀奖”、“十佳科主任”。对不孕不育、妇科良性、恶性肿瘤的诊治及产科各种难产、产后大出血、胎盘植入等产科危重症疾病的诊治有丰富临床经验。擅长腹腔镜或开腹的宫颈癌、内膜癌根治术、卵巢癌手术、输卵管整复、输卵管吻合术以及单孔腹腔镜手术及四级宫腔镜手术等。
 

陈丽华

 

主任医师

 
图片
妇科副主任,曾到北京协和医院妇产科及北京大学第三医院生殖中心等地进修深造,获得生殖技术准入资质及妇科内镜四级手术资质。擅长各类妇科疾病如宫颈癌,子宫内膜癌,卵巢癌,子宫肌瘤,功能失调性子宫出血、各类青春期疾病,更年期症状及疾病的诊疗,对于妇科内分泌方面的疾病有专长的研究。擅长做宫颈癌,卵巢癌及子宫内膜癌,宫腔黏连等重大四级手术。在功能性子宫出血、闭经、多囊卵巢综合症,更年期管理等妇科内分泌疾病方面的治疗经验丰富,治疗效果确切。特别擅长治疗不孕不育,反复流产,宫腔黏连等孕育方面的疾病,尤其对各类生殖健康、不孕不育及优生优育等相关疾病的诊断及治疗有很高的造诣。行医20余年,对产科妊娠高血压疾病,妊娠期糖尿病,妊娠期心脏病等产科重难疾病的治疗也有丰富的临床经验。是妇产科全能型人才。同时,也是全科医学的高级职称医师,全科高级师资人才。

周 彤

 

副主任医师

 
图片

研究生,妇科诊疗三组组长,妇产科基地及妇产科教研室教学秘书。2008年毕业于广西医科大学,钦州市妇科肿瘤质控中心委员、广西优生优育协会生殖道感染与生殖能力保护分会第一届理事会理事、广西医师医学会第一届妇科疾病防治专业委员会委员、广西医师协会妇科肿瘤专业委员会委员;曾于2020年7月到广东省佛山市第一人民医院学习妇科内镜,获得四级腔镜手术的资格。擅长妇产科疾病的诊治,对异常子宫出血、月经紊乱、闭经、异位妊娠,先兆流产,妇科良恶性肿瘤有丰富的临床经验,对妇科内镜及开腹手术有较高造诣,熟练掌握常规的宫腔镜手术,熟练掌握异位妊娠、子宫肌瘤、卵巢良性肿瘤、盆腔粘连等腹腔镜治疗、擅长宫颈病变诊治。

 

祝小燕

 

副主任医师

 
图片

研究生,第六党支部组织委员,2011年毕业于右江民族医学院。广西抗癌协会妇科肿瘤专业委员会委员、广西抗癌协会第一届肿瘤生殖与内分泌专业委员会委员,撰写数篇本专业学术论文并参与科内多项课题研究。曾至中山大学肿瘤防治中心进修学习,擅长妇科各种良恶性肿瘤的诊治、妇科内分泌等治疗,如宫颈癌、子宫内膜癌、卵巢癌等恶性肿瘤的保育治疗、手术、化疗及维持治疗有较高的造诣,同时擅长子宫肌瘤、卵巢肿瘤、宫颈病变、子宫内膜病变等良性肿瘤的诊治,熟练掌握妇科各类微创手术技能,如单孔及多孔腹腔镜手术等,多次在全国妇科单孔腹腔镜手术视频大赛中获奖,并在广西中青年医师妇科肿瘤规范化诊疗病例演讲比赛中获得优异成绩。

 

END

 

核发 | 吴天俊

审核 | 韦瑞文 陈丽华

文图 | 妇   科

编辑 | 周   期

 
图片

 

图片

 

扫一扫 手机端浏览

【钦二医生说】备孕总是没结果?要看子宫里是否有“不速之客”