


张女士,31岁,结婚两年,婚后开始备孕,一直没能成功,经朋友介绍来找到我院妇科陈丽华主任,经过详细的病史询问及完善相关检查,张女士月经期延长至8-9天,妇科超声提示;考虑子宫内膜息肉可能性大。医生建议施行宫腔镜手术进行治疗。得到检查结果,张女士内心非常忐忑,无法理解子宫内膜有息肉和备孕不成功之间的联系。
陈丽华主任表示:“如果把子宫比作孕育生命的土壤,子宫内膜就是每月周期性‘翻新’的沃土。但有时,局部内膜细胞会异常增生,形成带蒂的‘小肉疙瘩’,这就是子宫内膜息肉。临床数据显示,约25%的不孕女性存在内膜息肉,且随着年龄增长,发病率从20岁前的5%上升到40岁后的25%。”

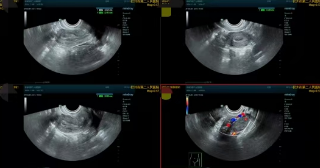
▲子宫内膜息肉患者超声所见


▲宫腔镜下子宫内膜息肉所见(术前、术后对比)

▲子宫内膜息肉病理改变
经过耐心的解释,张女士随后在我院办理了日间宫腔镜手术,当天办理住院,当天完成手术,术后一天即可办理出院。术后3个月,通过监测排卵指导同房,成功怀孕了。


经期延长:月经总拖尾7天以上
经间期出血:排卵期莫名少量出血
经量异常:突然出现"血崩"或经血淋漓
备孕困难:排卵正常却久备不孕
值得注意的是,约30%的患者毫无症状,直到体检或排查不孕原因时才被发现。建议备孕超过1年未孕者,都应进行宫腔镜检查。


物理阻挡:息肉就像子宫里的“路障”,干扰胚胎着床
炎性环境:异常增生的组织可能释放炎性因子
血流异常:改变子宫内膜的血供分布
容受性下降:影响内膜对胚胎的接受能力
研究显示,直径>1cm的息肉可使妊娠率下降50%,即使成功怀孕,流产风险也会增加2-3倍。


术前准备:月经干净3-7天最佳
手术过程:静脉麻醉下30分钟内完成
术后恢复:出血通常3-5天停止,次月即可备孕
国际指南建议:所有影响生育的息肉都应切除,术后妊娠率可达63%-82%。


控制慢性炎症:及时治疗阴道炎、宫颈炎
管理激素水平:避免滥用保健品,多囊卵巢患者需规范治疗
保持健康体重:BMI≥30者风险增加3倍
定期妇科检查:尤其出现异常出血时

子宫内膜息肉不是洪水猛兽,但需要科学对待。记住:了解身体发出的信号,及时寻求专业帮助,才是守护生育力的关键。
专家简介
张桂萍
主任医师
陈丽华
主任医师
周 彤
副主任医师
研究生,妇科诊疗三组组长,妇产科基地及妇产科教研室教学秘书。2008年毕业于广西医科大学,钦州市妇科肿瘤质控中心委员、广西优生优育协会生殖道感染与生殖能力保护分会第一届理事会理事、广西医师医学会第一届妇科疾病防治专业委员会委员、广西医师协会妇科肿瘤专业委员会委员;曾于2020年7月到广东省佛山市第一人民医院学习妇科内镜,获得四级腔镜手术的资格。擅长妇产科疾病的诊治,对异常子宫出血、月经紊乱、闭经、异位妊娠,先兆流产,妇科良恶性肿瘤有丰富的临床经验,对妇科内镜及开腹手术有较高造诣,熟练掌握常规的宫腔镜手术,熟练掌握异位妊娠、子宫肌瘤、卵巢良性肿瘤、盆腔粘连等腹腔镜治疗、擅长宫颈病变诊治。
祝小燕
副主任医师
研究生,第六党支部组织委员,2011年毕业于右江民族医学院。广西抗癌协会妇科肿瘤专业委员会委员、广西抗癌协会第一届肿瘤生殖与内分泌专业委员会委员,撰写数篇本专业学术论文并参与科内多项课题研究。曾至中山大学肿瘤防治中心进修学习,擅长妇科各种良恶性肿瘤的诊治、妇科内分泌等治疗,如宫颈癌、子宫内膜癌、卵巢癌等恶性肿瘤的保育治疗、手术、化疗及维持治疗有较高的造诣,同时擅长子宫肌瘤、卵巢肿瘤、宫颈病变、子宫内膜病变等良性肿瘤的诊治,熟练掌握妇科各类微创手术技能,如单孔及多孔腹腔镜手术等,多次在全国妇科单孔腹腔镜手术视频大赛中获奖,并在广西中青年医师妇科肿瘤规范化诊疗病例演讲比赛中获得优异成绩。


核发 | 吴天俊
审核 | 韦瑞文 陈丽华
文图 | 妇 科
编辑 | 周 期


扫一扫 手机端浏览