【钦二医技术】命悬“胰腺” 多学科联合救治化险为夷
发布时间:2024-07-22本文来源: 钦州市第二人民医院阅读次数:
分享到:
患者黄女士
“幸亏有你们及时有效的救治,我才可以重获新生。”普通外科二区出院患者黄女士由衷的说道。
近日,黄女士(化名)因腹痛在外院治疗14天未能好转,遂转入我院进一步治疗。入院后,考虑患者存在急性坏死性胰腺炎,予补液、抑酶、抗感染等对症治疗。但黄女士病情迅速发展,出现高热不退、嗜睡、精神差、呼吸急促、腹胀、腹痛等症状,情况十分危急,生命危在旦夕。

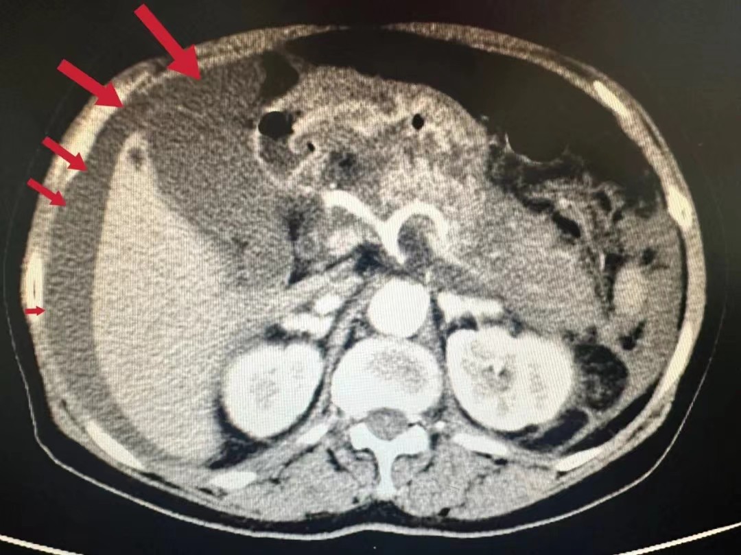
术前CT检查显示黄女士腹腔存在积液

术后CT结果
我院一键启动急救模式,立即组织院内多学科会诊,普通外科、心内科、重症医学科、麻醉科、超声诊断科等专家迅速集结,一致认为患者目前病情严重、非手术治疗无效,且高热不退,中毒症状明显,为及时有效抢救患者生命,应尽快外科干预治疗,行微创清除引流术缓解全身脓毒反应。经与患者及家属沟通后,立即开通绿色通道送手术室行急诊腹腔镜坏死性胰腺炎清创引流术。黄女士刚被送到手术室,危急的情况再次升级,她出现了室颤(心室纤颤),突发的情况让黄女士的身体状况越发危急。
“快!立即行心肺复苏······”在医护人员的通力合作下,黄女士的室颤得以缓解,完善心电图及心脏超声等检查均未发现心肌梗死等器质性病变情况,考虑突发室颤与其全身炎症反应、酸中毒有关。
“不管结果如何,我相信你们……”黄女士儿子沉重地说道。肩负着患者家属的信任,普通外科二区主任谢林宏带领团队开始了手术。手术中见黄女士的腹腔内存在暗红色坏死性液体2000ml,胰腺大面积坏死,大网膜弥漫性分布着皂化斑。手术团队有条不紊地进行胰腺清创引流,以最小的创伤清除坏死物,留置引流管持续引流。

▲术中
手术顺利完成,术后予以积极抗感染、引流、营养、抑酶、肺功能锻炼等对症支持治疗。术后2周黄女士顺利出院。为了感谢医护人员,黄女士及家属送来了感谢的锦旗,黄女士更是不禁感慨的说到:“幸亏有你们及时有效的救治,我才可以重获新生。”

急性胰腺炎科普小知识
急性胰腺炎是最常见的消化系统疾病之一。最新统计显示,全世界每10万人群中新发病例数为5~30例,且近年来发病率有逐年上升的趋势。约10%~20%的患者发展为坏死性胰腺炎,这其中又有近1/3的患者会继发感染性胰腺坏死。随着重症医学水平的提高,急性胰腺炎患者早期死于器官功能衰竭的比例逐渐下降,而后期胰腺坏死积液继发感染正成为威胁患者生命最主要的原因。
扫一扫 手机端浏览
