【钦二医生说】警惕致命的腹痛——肠系膜上动脉栓塞
发布时间:2024-04-17本文来源: 钦州市第二人民医院阅读次数:
分享到:
近日,我院普外科二区经介入取栓及溶栓治疗成功救治一名肠系膜上动脉栓塞患者,挽救患者生命的同时避免了外科手术切除坏死肠管。
数日前,61岁的郭先生(化名)因“突发腹痛8小时”到我院急诊科就诊,因患者腹痛剧烈,急诊科医师接诊患者后立即联系我院普外科二区紧急会诊,完善腹部增强CT检查,结果回报为:急性肠系膜上动脉栓塞。追问患者病史,述既往有“房颤”病史。其急性肠系膜上动脉栓塞考虑慢性房颤心房内血栓脱落所致,引起急性肠管缺血致剧烈腹痛。
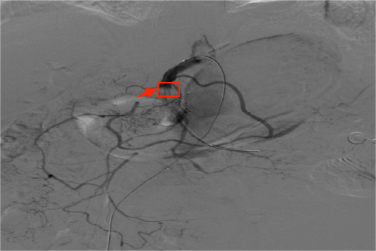
急性肠系膜上动脉栓塞可进一步出现肠管坏死、感染性休克甚至危及生命,而尽早正确诊断、及时治疗是降低病死率的关键。传统的治疗方法是内科的药物保守治疗和外科的切开取栓以及肠管切除,但存在效果不佳和创伤大、病死率高而增加治疗的难度。介入治疗的开展,很好的解决了这一难题。介入治疗存在创伤小、安全、副作用少等优势,对肠系膜上动脉栓塞的治疗达到了快速高效的治疗效果。普外科二区立即组织科内讨论,同时邀请胸心血管外科、重症医学科专家进行急会诊,完善术前准备及应急预案后,立即将患者送介入室行肠系膜上动脉造影术+肠系膜上动脉球囊扩张术+肠系膜上动脉置管术溶栓术。术后,患者腹痛明显缓解,肠鸣音正常,无腹膜炎征象,肛门排气、排便。
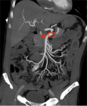
术前腹部增强CT:肠系膜上动脉近端血栓形成并闭塞
术后腹部增强CT:原肠系膜上动脉近端血栓消失,血管再通


术后第3天复查腹部CTA示:原肠系膜上动脉近段、右结肠动脉近端、小肠动脉近端充盈缺损已消失,各分支显影好。
Tips
医生有话说
肠系膜上动脉栓塞在临床上是一种极危重的急腹症,临床发病率虽然不高,但其起病急骤,进展迅速,病情凶险,一般发病10-12小时后,肠管坏死,不可逆转,全身中毒性表现明显。因常有“症状与体征不符”的情况,漏诊率和死亡率极高,据文献报道其死亡率高达50%-80%。
一经确诊,须尽早治疗。介入手术方法包括导管吸栓、取栓,导管溶栓、球囊扩张、支架置入等,是尚未发生肠管坏死的急性肠系膜上动脉血栓形成的首选治疗手段。介入治疗围术期并发症少、病死率低,同时有微创的诸多优点,易为患者所接受。治疗过程中如若出现肠坏死,则需行坏死肠段切除术,肠系膜上动脉栓塞可引起广泛肠坏死,患者术后多需长期肠外营养支持治疗,生活质量差。
因此,生活中,如出现腹痛、呕吐等不适,应及时就诊,避免延误最佳治疗时机。
肠系膜动脉栓塞:由于动脉栓子进入肠系膜动脉造成阻塞所引起的疾病。栓子一般来自心脏的附壁血栓,多见于风心病、心房纤颤、冠心病、感染性心内膜炎及近期心梗患者。
预防:治疗原发疾病,平时要注意健康体检,控制血压、血脂等,如若体检发现有心房纤颤、冠心病、风湿病等,应及时到心血管内科等相关科室就诊。
专家简介
闭永浩
普外科主任
主任医师,广西抗癌协会肝癌专业委员会常委,广西抗癌协会乳腺癌专业委员会委员,广西抗癌协会甲状腺癌专业委员会委员。完成市级科研3项,获钦州市科技进步3等奖3项,发表医学论文15篇,中文核心期刊4篇。擅长肝胆、甲状腺、乳腺肿瘤诊治。
仇兵海
副主任医师
副主任医师,在腹腔肿瘤的介入治疗方面有自己独到造诣,发表省级以上论著10余篇。对乳腺甲状腺、胃小肠、结直肠各种肿瘤及相关疾病的诊治有自己专业特长。对肝胆胰腺疾病诊治亦有较深的研究,现专业从事胃肠外科工作,对胃肠外科常见病多发病均能熟练诊治。
谢林宏
医务部副部长兼普外科二区主任
副主任医师,广西医师协会肝胆外科分会委员,广西医师协会肝癌专委会委员,广西医师协会甲状腺乳腺专委会委员,钦州医学会普外科分会委员,从事普外科工作16余年,临床经验丰富,曾到中山医科大学第一附属医院普外科及广西医科大学第二附属医院微创中心进修学习。专注于肝脏良恶性肿瘤、胆道疾病、胰腺、脾脏疾病、甲状腺疾病规范化治疗。尤其擅长腔镜下甲状腺肿瘤手术治疗,腹腔镜下肝肿瘤切除,腹腔镜、胆道镜双镜联合治疗胆道结石。在国家级、省级刊物发表专业论文数篇,参与科内科研“保乳术联合术中氟尿嘧啶植入剂在二期乳腺癌治疗中的临床研究”项目获“钦州市科学技术进步奖三等奖”参与科研《低中心静脉压联合间歇性入肝血流阻断技术在肝切除术中的应用》项目获自治区科学技术成果奖。
钟贤君
普外科二区副主任
副主任医师,毕业于广西医科大学,曾到中山医科大学第一附属医院、广西医科大学第一附属进修学习,多次参加国内普通外科培训班及研修班,在国家级及省级医学文刊发表多篇医学论文。长期从事普通外科临床、科研及教学工作,在肝脏良恶性肿瘤、胆道肿瘤、胆道结石、脾脏、胰腺疾病方面积累了丰富的临床经验,尤其专注于普外科疾病的腔镜微创治疗。
核发 | 吴天俊
审核 | 张莹珺
文图 | 钟贤君
编辑 | 周期
近日,我院普外科二区经介入取栓及溶栓治疗成功救治一名肠系膜上动脉栓塞患者,挽救患者生命的同时避免了外科手术切除坏死肠管。
数日前,61岁的郭先生(化名)因“突发腹痛8小时”到我院急诊科就诊,因患者腹痛剧烈,急诊科医师接诊患者后立即联系我院普外科二区紧急会诊,完善腹部增强CT检查,结果回报为:急性肠系膜上动脉栓塞。追问患者病史,述既往有“房颤”病史。其急性肠系膜上动脉栓塞考虑慢性房颤心房内血栓脱落所致,引起急性肠管缺血致剧烈腹痛。
急性肠系膜上动脉栓塞可进一步出现肠管坏死、感染性休克甚至危及生命,而尽早正确诊断、及时治疗是降低病死率的关键。传统的治疗方法是内科的药物保守治疗和外科的切开取栓以及肠管切除,但存在效果不佳和创伤大、病死率高而增加治疗的难度。介入治疗的开展,很好的解决了这一难题。介入治疗存在创伤小、安全、副作用少等优势,对肠系膜上动脉栓塞的治疗达到了快速高效的治疗效果。普外科二区立即组织科内讨论,同时邀请胸心血管外科、重症医学科专家进行急会诊,完善术前准备及应急预案后,立即将患者送介入室行肠系膜上动脉造影术+肠系膜上动脉球囊扩张术+肠系膜上动脉置管术溶栓术。术后,患者腹痛明显缓解,肠鸣音正常,无腹膜炎征象,肛门排气、排便。
术前腹部增强CT:肠系膜上动脉近端血栓形成并闭塞
术后腹部增强CT:原肠系膜上动脉近端血栓消失,血管再通


术后第3天复查腹部CTA示:原肠系膜上动脉近段、右结肠动脉近端、小肠动脉近端充盈缺损已消失,各分支显影好。
Tips
医生有话说
肠系膜上动脉栓塞在临床上是一种极危重的急腹症,临床发病率虽然不高,但其起病急骤,进展迅速,病情凶险,一般发病10-12小时后,肠管坏死,不可逆转,全身中毒性表现明显。因常有“症状与体征不符”的情况,漏诊率和死亡率极高,据文献报道其死亡率高达50%-80%。
一经确诊,须尽早治疗。介入手术方法包括导管吸栓、取栓,导管溶栓、球囊扩张、支架置入等,是尚未发生肠管坏死的急性肠系膜上动脉血栓形成的首选治疗手段。介入治疗围术期并发症少、病死率低,同时有微创的诸多优点,易为患者所接受。治疗过程中如若出现肠坏死,则需行坏死肠段切除术,肠系膜上动脉栓塞可引起广泛肠坏死,患者术后多需长期肠外营养支持治疗,生活质量差。
因此,生活中,如出现腹痛、呕吐等不适,应及时就诊,避免延误最佳治疗时机。
肠系膜动脉栓塞:由于动脉栓子进入肠系膜动脉造成阻塞所引起的疾病。栓子一般来自心脏的附壁血栓,多见于风心病、心房纤颤、冠心病、感染性心内膜炎及近期心梗患者。
预防:治疗原发疾病,平时要注意健康体检,控制血压、血脂等,如若体检发现有心房纤颤、冠心病、风湿病等,应及时到心血管内科等相关科室就诊。
专家简介
闭永浩
普外科主任
主任医师,广西抗癌协会肝癌专业委员会常委,广西抗癌协会乳腺癌专业委员会委员,广西抗癌协会甲状腺癌专业委员会委员。完成市级科研3项,获钦州市科技进步3等奖3项,发表医学论文15篇,中文核心期刊4篇。擅长肝胆、甲状腺、乳腺肿瘤诊治。
仇兵海
副主任医师
副主任医师,在腹腔肿瘤的介入治疗方面有自己独到造诣,发表省级以上论著10余篇。对乳腺甲状腺、胃小肠、结直肠各种肿瘤及相关疾病的诊治有自己专业特长。对肝胆胰腺疾病诊治亦有较深的研究,现专业从事胃肠外科工作,对胃肠外科常见病多发病均能熟练诊治。
谢林宏
医务部副部长兼普外科二区主任
副主任医师,广西医师协会肝胆外科分会委员,广西医师协会肝癌专委会委员,广西医师协会甲状腺乳腺专委会委员,钦州医学会普外科分会委员,从事普外科工作16余年,临床经验丰富,曾到中山医科大学第一附属医院普外科及广西医科大学第二附属医院微创中心进修学习。专注于肝脏良恶性肿瘤、胆道疾病、胰腺、脾脏疾病、甲状腺疾病规范化治疗。尤其擅长腔镜下甲状腺肿瘤手术治疗,腹腔镜下肝肿瘤切除,腹腔镜、胆道镜双镜联合治疗胆道结石。在国家级、省级刊物发表专业论文数篇,参与科内科研“保乳术联合术中氟尿嘧啶植入剂在二期乳腺癌治疗中的临床研究”项目获“钦州市科学技术进步奖三等奖”参与科研《低中心静脉压联合间歇性入肝血流阻断技术在肝切除术中的应用》项目获自治区科学技术成果奖。
钟贤君
普外科二区副主任
副主任医师,毕业于广西医科大学,曾到中山医科大学第一附属医院、广西医科大学第一附属进修学习,多次参加国内普通外科培训班及研修班,在国家级及省级医学文刊发表多篇医学论文。长期从事普通外科临床、科研及教学工作,在肝脏良恶性肿瘤、胆道肿瘤、胆道结石、脾脏、胰腺疾病方面积累了丰富的临床经验,尤其专注于普外科疾病的腔镜微创治疗。
核发 | 吴天俊
审核 | 张莹珺
文图 | 钟贤君
编辑 | 周期
扫一扫 手机端浏览






