【钦二医技术】胸痛中心 “一键启动”救心模式 成功抢救突发左主干完全闭塞的急性心梗患者
近期,黄大爷(化名)因“胸痛2小时”由家人送至我院,确诊为:急性心肌梗死、心源性休克、killip IV级,我院胸痛中心团队立即展开紧急救治,开通闭塞血管,随后经过多学科协作,成功将患者从死亡线上救了回来。

一个月前,黄大爷无明显诱因下出现胸痛,以胸骨后为主,呈持续性、压榨性疼痛,伴大汗淋漓,家属将其送到当地卫生院诊治,行心电图检查提示急性心肌梗死,病情危急,家属立即送到我院进一步抢救。患者血压74/49mmHg,已经处于休克状态,急诊冠状动脉造影提示:左主干中段后完全闭塞,前向血流TIMI0级。

▲患者入院时心电图报告
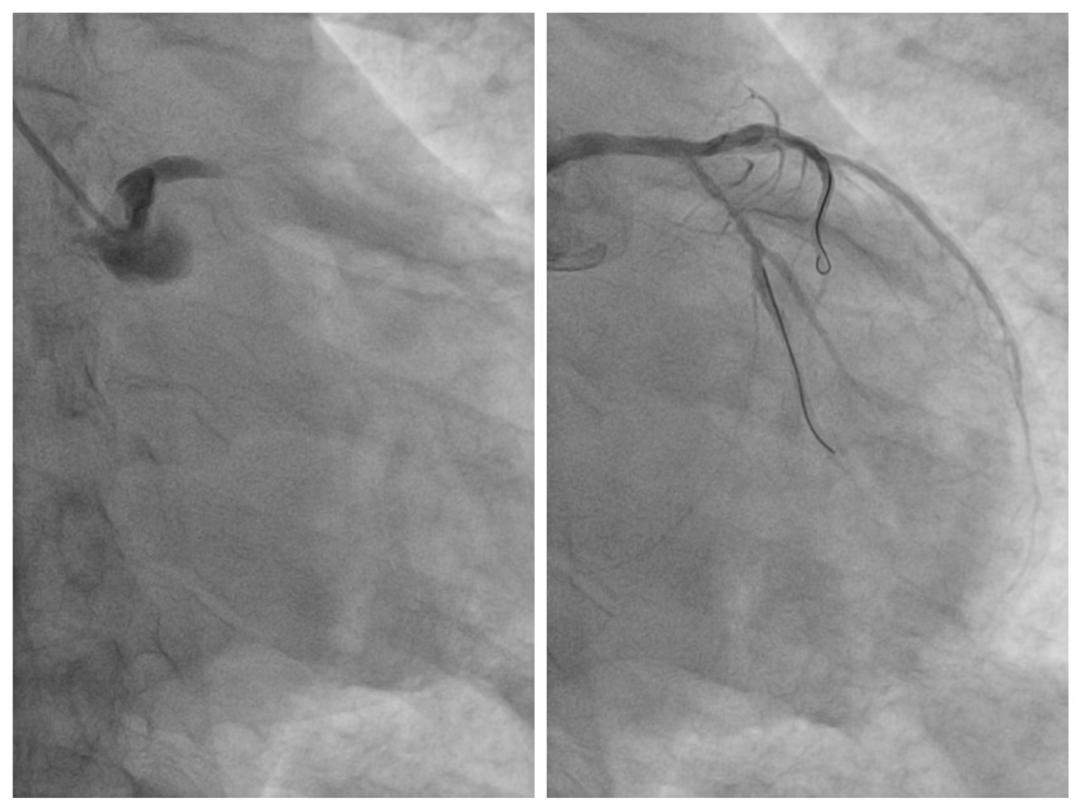
如此危重的病情,黄大爷正面临着生命危险,时间就是生命,时间就是心肌,来不得半点犹豫,我院胸痛中心陈丽媛主任医师、仇昌智副主任医师团队立即为患者开通救治绿色通道,第一时间将患者送到介入室,为患者紧急开通闭塞的血管。在左主干-前降支开口(LM-LAD)植入一枚药物支架,同时植入主动脉球囊反搏(IABP)加强循环支持治疗,整个救治过程流畅快速。手术过程顺利,仅48分钟的时间,闭塞血管便得以开通,术后,将患者送到重症监护室进一步密切监护。


▲术前(左图)左主干中段后完全闭塞,术后闭塞血管得以开通(右图)
在重症监护室期间,黄大爷病情依然危重,且出现心梗并发症、心功能不全等情况,何东明主任医师带领的重症医学科二区团队与心血管内科专家团队密切配合,时刻关注患者病情,给予抗心衰药物、气管插管术及体外膜肺ECMO植入等抢救治疗。经过29天的精心治疗和悉心照护,黄大爷终于顺利康复出院。出院时,黄大爷动情的逐一向曾经照护过自己的医护人员表达了深深的谢意。

▲患者家属向心血管内科一区医护人员赠与感谢锦旗

▲患者家属向重症医学科二区医护人员赠与感谢锦旗

急性左主干心肌梗死,指的是冠状动脉左主干发生了急性闭塞,导致左冠状动脉血流完全中断,由左冠供血的大部分心肌随即发生缺血和坏死。临床表现为突发加重的胸闷、胸痛、出汗和晕厥。症状一旦发生,如果来不及接受及时和有效的救治,患者的病情往往会迅速恶化,多伴有休克和各种恶性心律失常,更多的患者会很快死亡。冠状动脉左主干一旦发生急性闭塞,患者要立即就诊,医生要尽快确诊,明确诊断后要尽快开通血管。时间就是心肌,时间就是生命。早一点开通血管,患者就会多一份存活的希望。开通血管的时间越后延,患者救活的希望越小,发生致命性并发症的机率越大。
急性左主干心肌梗死,起病急,进展快,死亡率极高。大多数患者首诊在基层医院,几乎来不及送至地市级以上的医院进行抢救,就已经死亡。这类患者的成功救治需要胸痛中心强大的技术力量、丰富的急救经验及密切的团队合作。钦州市第二人民医院胸痛中心团队在此类疾病患者的救治上拥有着丰富的经验,抢救成功率位居国内先进水平。

专家
简介
洪泽文
副主任医师

副院长,副主任医师,在职研究生。根据本专业发展确定本专业工作和科学研究方向,先后开展了选择性冠状动脉造影及经皮冠脉内支架植入术;经桡动脉冠脉造影及支架植入术;急性心肌梗死的急诊介入治疗。并开展曲美他嗪治疗心衰和冠心病、心绞痛等临床研究,疗效显著,取得显著的社会效益。能熟练处理心肌梗死、高血压、冠心病、心衰、心律失常、心肌病等心血管疾病。尤其擅长冠心病介入诊治(冠脉造影+冠脉支架植入术)、心衰和高血压诊疗。
黄军章
主任医师

主任医师,心血管内科主任。广西心脏起搏与电生理学会委员。曾到北京阜外医院心律失常中心、南京鼓楼医院、北京同仁医院等地进修学习,具有扎实的基础理论知识和丰富的临床经验。擅长心律失常、高血压病、冠心病诊治和急危重病人抢救、心血管介入治疗,对高血压急症、恶性心律失常及急性心衰抢救有丰富的临床工作经验。主持主参与国家级科研1项,省部级3项,市级3项;主持的《经桡动脉冠状动脉造影临床应用》获钦州市科技进步三等奖,《 经导管射频消融治疗经皮性室上性心动过速》获钦州市科技攻关项目。近年来在国内核心期刊、医学期刊发表专业论文20余篇。
陈丽媛
主任医师

主任医师,心血管内科副主任、心血管内科一区主任。曾赴首都医科大学附属北京安贞医院、北京朝阳医院心脏中心等地进修学习。擅长先天性心脏病、冠心病、高血压病、心律失常、心力衰竭等心血管疾病的诊治,尤其在室间隔缺损、房间隔缺损、动脉导管未闭、肺动脉狭窄及复杂先天性心脏病的诊治方面有丰富临床经验。曾被评为全国卫生系统“青年岗位能手”、钦州市“第六批优秀青年科技人才”等荣誉称号。主持及主要参与自治区级科研项目3项,市级科研5项,并获广西医药卫生适宜技术推广奖、钦州市科学技术进步奖。
陈林
主任医师

心血管内科副主任,研究生学历,从事心内科临床工作多年。曾到北京阜外心血管病医院进修,擅长心内科各种疾病尤其是冠心病、先天性心脏病、心律失常、心力衰竭等疾病的诊治,对冠心病、先天性心脏病的介入治疗有丰富的经验。多次在国内核心期刊发表心内科论文。
仇昌智
副主任医师

副主任医师,心血管内科一区副主任,第一党支部副书记,毕业于广西医科大学临床专业;具有系统的医学基础理论和丰富的临床工作经验,从事心内科临床工作14年,熟练掌握心内科常见病、多发病及急危重症、疑难病症的诊治技术,擅长心内科各种疾病尤其是冠心病、先天性心脏病、心律失常、心力衰竭、高血压病等疾病的诊治,对冠心病、先天性心脏病的介入治疗有丰富的经验;曾到北京阜外心血管病医院进修学习急重症及冠心病介入治疗,曾到广西医科大学进修先天性心脏病介入治疗。目前主持开展钦州市科研项目2项:《阿托伐他汀联用脂必泰预处理对择期PCI患者治疗的效果研究》;《他汀 类药物对中国血脂异常患者临床疗效和安全性的网络注册与随访研究》。已有多篇论文在国内核心期刊发表。
蓝子深
副主任医师

副主任医师,心血管内科二区副主任。曾于2016年至2018在广东省人民医院霍英东心研所研修学习。获得国家卫生部心律失常射频消融和起搏器植入资质。为广东省心脏起搏与电生理青年委员,广西心脏起搏与电生理委员,广西房颤联盟培训专家,获得第六届中国好术者三等奖。在核心期刊发表多篇论文。擅长心律失常(室上速,预激综合征,房速,房扑,房颤,室早,室速)的射频消融及起搏器,CRT/CRTD植 入治疗。
刘醒存
副主任医师

副主任医师,广西医科大学硕士研究生,擅长冠心病、心律失常、高血压、心力衰竭等心血管疾病的诊治,尤其对冠脉支架植入术、心律失常射频消融手术以及起搏器植入术等有较高造诣。目前负责一项自治区科研项目,于国家核心期刊发表学术论文多篇。
扫一扫 手机端浏览
