近日,我院呼吸与危重症医学科三区专家团队在CT引导下顺利为一名69岁肺癌患者实施肺结节微波消融术,通过微创手术以“针”代刀治疗肺结节。
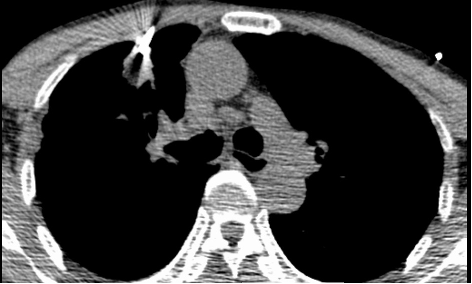
69岁的吴伯(化名)在3年前起出现反复咳嗽、咳痰,症状逐渐加重,并出现胸痛。至我院行胸部CT检查,提示为右肺占位(大小约21mm×19mm),考虑恶性肿瘤的可能性比较大。由于患者年龄较大,肺功能下降,考虑手术创伤较大,恢复较慢,且费用较高,根据患者的情况及要求,专家推荐了风险相对低的消融手术。
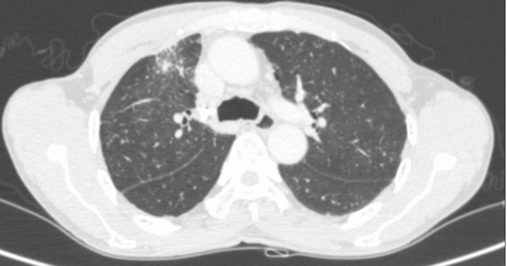
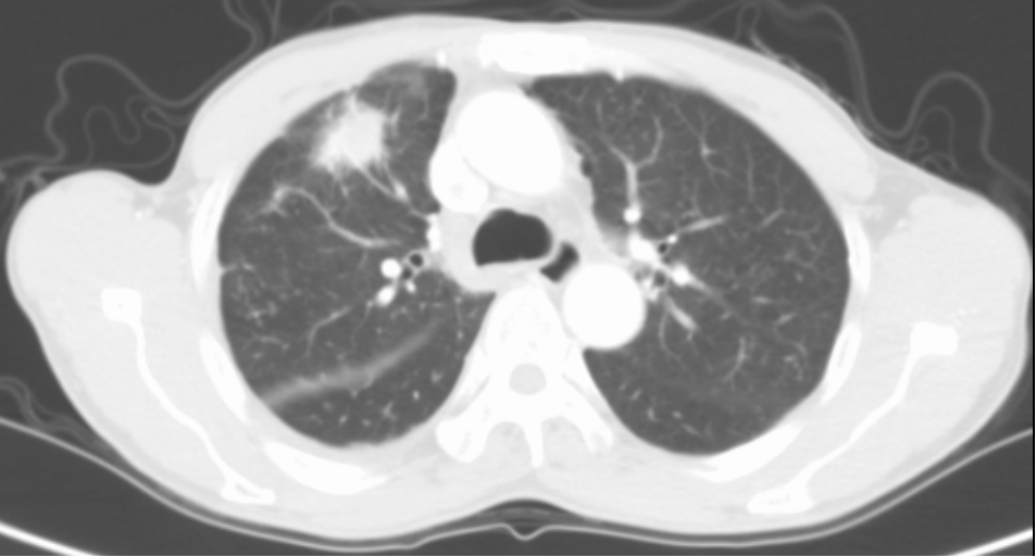
经与患者及家属充分沟通后,呼吸与危重症医学科三区为吴伯安排了肺结节微波消融术。术前已行结节活检,病理结果提示为腺癌。手术过程中,在副院长许承琼指导下,通过CT引导定位,布针顺利平稳,布针结束后,随即展开肺结节微波消融术,手术历时不到2小时顺利结束。

▲病理结果:(右上肺结节穿刺组织)腺癌

▲许承琼(右)在手术中
肺是人体最“娇嫩”的器官,也是人体最易失守的第一道防线,近半个世纪以来,吸烟、环境污染及职业危害等因素导致肺癌发病率和死亡率不断上升,成为人类健康和生命危害最大的“头号杀手”。多数肺癌患者就诊时已为晚期,传统的外科开胸手术切除肺叶治疗方法,创伤较大、恢复较慢。随着医学的不断进步,肺癌的治疗手段也呈现多样化趋势。
呼吸与危重症医学科三区主任黄婷婷副主任医师提醒,肺癌的隐匿性很强,目前体检和低剂量CT是早期发现的唯一有效方法,建议市民在45岁以后每年体检一次。40岁以上的市民,尤其有吸烟史、家族史、石棉或辐射职业接触史、长期在密闭环境工作的人群,每年进行一次低剂量CT进行早期筛查。
肺结节消融术,尤其是微波消融,是一种局部热消融技术,以创伤小、安全性高和可重复性强为特点,射频消融通过生物学效应,使肿瘤细胞发生不可逆损伤或凝固性坏死,形象地说,就是将肿瘤“烧死”,达到“灰飞烟灭”的效果。

对患者全身情况要求较低:常规的外科胸腔镜手术切除需要在全麻下进行,对患者心肺功能有一定要求,而射频消融术在局麻下进行,不开刀、不损失肺功能,不需要气管插管全麻和切除肺组织,仅有轻微疼痛,对患者身体耐受性要求比较低。
对肺功能影响非常小:射频消融仅作用于病灶局部肺组织,对周围正常肺组织损伤较少,对肺功能影响小。
副作用少,恢复快:射频消融术后经过短暂休息后即可恢复正常活动及饮食,术后3天出院。
1. 心肺功能差或高龄,不能耐受手术切除的患者。
2. 拒绝手术切除的患者。
3. 外科切除后新发结节或残留结节,无法或拒绝再次手术的患者。
4. 多原发非小细胞肺癌患者。
5. 一侧肺缺如的患者。
6. 病灶未达手术切除标准,但患者重度焦虑,药物或心理治疗无效的患者。
<div style="margin-bottom: unset; outline: 0px; color: rgb(0, 0, 0); font-size: medium; letter-spacing: 0.544px; font-family: -apple-system-font, BlinkMacSystemFont, " helvetica="" neue",="" "pingfang="" sc",="" "hiragino="" sans="" gb",="" "microsoft="" yahei="" ui",="" yahei",="" arial,="" sans-serif;"="">
中共党员,主任医师,副院长;2023年获钦州市科技工作者,2021年获钦州市五一劳动奖章,2019年获第九批钦州市拔尖人才、钦州市“百名优秀医师奖”、钦州市卫健委记功奖;专长:呼吸系统各种疾病的诊治、支气管镜诊断治疗、重症医学,呼吸系统各种疾病的诊治如支气管哮喘、慢性支气管炎、支气管扩张并咯血、慢性呼吸衰竭、气胸、肺结核、重症肺炎等。尤其对重症医学、支气管镜介入治疗、肺功能检查等有丰富的临床经验,如支气管镜下取气管或支气管异物;支气管镜下气管或支气管支架植入术;支气管镜下肺泡灌洗术;支气管镜检查及取活检、刷检术;开展经皮肺肿瘤消融术,经气管镜纵膈淋巴结针吸活检术,经支气管镜下肺活检术等。应用支气管镜在重症监护病房为重症病人吸痰、气管插管使危重病人抢救嬴得宝贵时间,大大提高抢救成功率,同时应用呼吸机抢救危重病人取得很好的治疗效果。
呼吸与危重症医学科主任,广西医学会呼吸分会委员、广西医师协会呼吸分会常委,右江医学院兼职教授。多年来一直从事于呼吸内科临床工作,曾进修于广西医科大学第一附属医院、广州呼吸疾病研究所等。在呼吸内科领域,尤其是在肺部感染性疾病、慢性阻塞性肺疾病、支气管哮喘、呼吸衰竭、肺部肿瘤、睡眠呼吸疾病的诊治以及支气管镜的临床应用、呼吸支持技术方面有较深造诣。
中共党员,医学硕士,主任医师,曾驰援武汉抗击新冠肺炎。现任呼吸与危重症医学科副主任兼一区主任,社会兼职亚洲冷冻治疗学会委员;广东省胸部疾病学会呼吸介入专业委员会常委;广西医学会呼吸内镜学分会委员;广西医师协会呼吸内镜医师分会委员会委员;广西医师协会呼吸医师分会呼吸介入学组委员会委员;广西预防医学会呼吸病预防与控制专业委员会常务委员;广西抗癌协会肺癌专业委员会委员。曾到国内多年专科排名第一位的广州呼吸疾病研究院进修师从钟南山院士、陈荣昌、李时悦等国内著名呼吸病专家,擅长呼吸系统常见病、多发病、疑难危重疾病的诊治,特别是在呼吸内镜介入及影像引导下介入诊疗技术、慢性顽固性咳嗽、肺结节等等方面有很深造诣,率先开展曾氏支气管分叉路口代码定位导航肺活检术、经支气管镜可快速植入支气管塞治疗大咯血技术、经支气管镜可快速植入支气管塞治疗难治性气胸技术、新式经支气管镜肺活检技术(NTBLB);率先在广西北部湾沿海开展20余项填补地区空白呼吸介入新技术。主持及参与省、市级课题多项,发表核心论文多篇。获国家实用新型专利7项。荣获钦州市“优秀医生”、钦州市第九批“优秀青年科技人才”、钦州市第十批“拔尖人才”等称号。
呼吸与危重症医学科二区主任,医学硕士,师从广西著名呼吸内科专家柳广南教授,擅长呼吸系统各种疾病诊疗,尤其擅长呼吸衰竭,肺栓塞等急危重症抢救诊疗,肺部阴影诊疗,气管镜下介入诊疗,肺穿刺活检,睡眠呼吸疾病的诊疗等。曾多次到区内外学习进修。从事呼吸内科临床工作多年,具有丰富的临床经验。
呼吸与危重症医学科三区主任,健康体检中心技术主任,副主任医师,研究生学历。钦州市医学会第五届理事会理事,广西中医药学会第三届络病专业委员会常委,广西医学会呼吸病学分会委员,广西医师协会第二届健康管理与医师健康保险专业委员会委员,职业病主检、诊断医师,曾到国家呼吸健康研究院进修。擅长呼吸系统感染、间质性肺疾病、肺血管疾病、慢性阻塞性肺疾病、支气管哮喘、支气管扩张症、呼吸衰竭、肺肿瘤等常见、疑难疾病诊治及气管镜介入治疗等。
呼吸与危重症医学科二区副主任,副主任医师,研究生学历。曾到广东省肺癌研究所研修,师从享誉国际的呼吸肿瘤专家-吴一龙主任的团队,学成后一直致力于原发性肺癌的规范化、个体化诊治。能熟练运用呼吸系统的专科诊治操作,擅长呼吸内镜下检查技术(肺泡灌洗、肺组织活检等),呼吸内镜下支气管良恶性肿瘤的介入治疗(肿瘤消融术、支气管狭窄球囊扩张术、支气管支架植入术等),内科胸腔镜下胸膜疾病的诊治,CT或B超定位引导下经皮肺穿刺活检等。从事呼吸系统专科临床工作多年,对于呼吸系统的常见病、多发病、疑难危重疾病的诊治具有丰富的临床经验。
呼吸与危重症医学科五区副主任(主持全面工作);呼吸内科硕士研究生。在呼吸系统疾病如急、慢性支气管炎、慢性阻塞性肺疾病、慢性肺源性心脏病、支气管哮喘、呼吸系统感染性疾病、胸腔积液、气胸、支气管扩张症、咳血、肺栓塞、呼吸衰竭等积累了丰富的临床经验。熟练掌握呼吸内科的急危重症的抢救技术。擅长纤支镜检查技术及纤支镜下介入治疗、内科胸腔镜检查技术及内科胸腔镜下进行胸膜疾病治疗;善于运用支气管镜对支气管内膜结核、气管支气管良、恶性肿瘤及良、恶性气道狭窄等疾病的介入治疗(包括纤支镜下高频电灼、经纤支镜下球囊扩张术、纤支镜下冷冻治疗等) ;善于运用纤支镜进行肺泡灌洗、纤支镜下肺活检、纤支镜下气管插管等。
核发 | 吴天俊
审核 | 张莹珺 黄婷婷
文 | 邓秀娇 黄婷婷
图 | 石梦秀
编辑 | 黄国春