近日,我院呼吸与危重症医学科三区来了一例高烧不退并伴有严重呼吸困难的患者黎先生(化名)。此前,黎先生曾在外院就诊,考虑为:肺恶性肿瘤?这可把家里人吓坏了,为了寻求进一步诊治,转诊至我院呼吸与危重症医学科三区住院治疗。
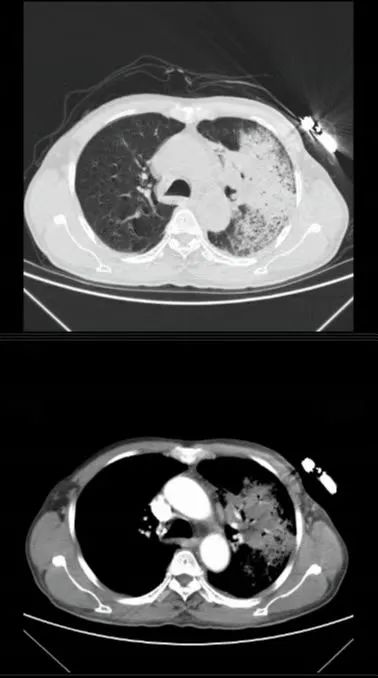
入院时,患者乏力、发热,胸闷、咯血,为了尽快找到病因,呼吸感染学组专家立即为患者完善相关实验室检查和影像学检查,并召开专题研究会,对黎先生的病情进行细致的研究和讨论。根据患者病史、症状和体征,初步判断其是因某种特殊致病菌感染导致肺部炎症,极有可能是饲养家禽引起的感染。

考虑到传统的检测方法阳性率低,周期长,呼吸感染学组专家决定选取气管镜肺泡灌洗液进行高通量测序mNGS检测,以便快速精准锁定病原。最终,检查结果验证了专家们的判断,黎先生感染了鹦鹉热衣原体!明确了病因,专家们立即对黎先生进行对症治疗,经过精准治疗,患者很快恢复出院。
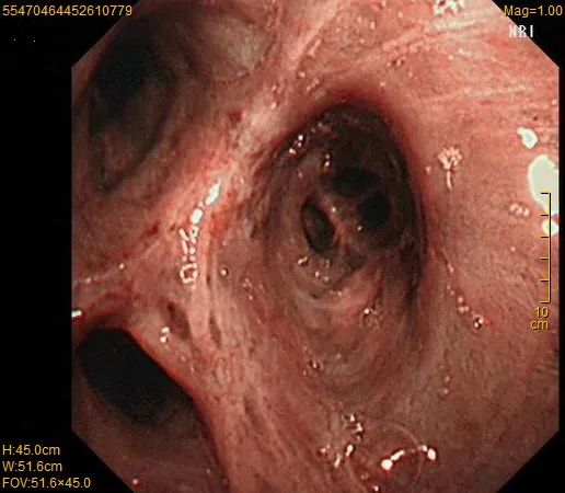
气管镜图:左肺上叶
气管镜图:气管隆突

科普小知识




如何预防这类疾病


专家简介
许承琼
主任医师
主任医师,副院长;2019年获第九批钦州市拔尖人才、钦州市“百名优秀医师奖”、钦州市卫健委记功奖;专长:呼吸系统各种疾病的诊治、支气管镜诊断治疗、重症医学,呼吸系统各种疾病的诊治如支气管哮喘、慢性支气管炎、支气管扩张并咯血、慢性呼吸衰竭、气胸、肺结核、重症肺炎等。尤其对重症医学、支气管镜介入治疗、肺功能检查等有丰富的临床经验,如支气管镜下取气管或支气管异物;支气管镜下气管或支气管支架植入术;支气管镜下肺泡灌洗术;支气管镜检查及取活检、刷检术;开展经皮肺肿瘤消融术,经气管镜纵膈淋巴结针吸活检术,经支气管镜下肺活检术等。应用支气管镜在重症监护病房为重症病人吸痰、气管插管使危重病人抢救嬴得宝贵时间,大大提高抢救成功率,同时应用呼吸机抢救危重病人取得很好的治疗效果。
曾红
主任医师
呼吸与危重症医学科主任,广西医学会呼吸分会委员、广西医师协会呼吸分会常委,右江医学院兼职教授。多年来一直从事于呼吸内科临床工作,曾进修于广西医科大学第一附属医院、广州呼吸疾病研究所等。在呼吸内科领域,尤其是在肺部感染性疾病、慢性阻塞性肺疾病、支气管哮喘、呼吸衰竭、肺部肿瘤、睡眠呼吸疾病的诊治以及支气管镜的临床应用、呼吸支持技术方面有较深造诣。
曾能永
主任医师
医学硕士,主任医师,曾驰援武汉抗击新冠肺炎。现任呼吸与危重症医学科四区主任,社会兼任世界内镜协会呼吸内镜委员会理事,广西预防医学会呼吸病预防与控制专业委员会常务委员,广西医师协会呼吸内镜医师分会委员会委员,广西抗癌协会肺癌专业委员会委员,广西医师协会呼吸医师分会中青年委员会委员,中国抗癌协会光动力治疗分会会员。曾到国内多年专科排名第一位的广州呼吸疾病研究所进修师从钟南山院士、陈荣昌、李时悦等国内著名呼吸病专家,擅长呼吸系统常见病、多发病、疑难危重疾病的诊治,特别是在呼吸内镜介入及影像引导下介入诊疗技术、慢性顽固性咳嗽、肺结节等等方面有很深造诣,率先在北部湾沿海开展呼吸内镜下综合利用高频电圈套器套切、高频电刀、氩气刀、冷冻冻切、冷冻冻融、球囊扩张术、支架植入等多种介入技术治疗气管支气管良恶性肿瘤及气道良恶性狭窄、支气管镜纵膈淋巴结针吸及钳活检术、CT引导下经皮肺穿刺活检技术、CT引导下经皮胸膜穿刺活检技术、内科胸腔镜检查及胸膜活检术、快速现场评价技术等等。
周宏伟
副主任医师
研究生学历,呼吸与危重症医学科一区副主任,广西医学会呼吸内镜学分会委员,获尘肺诊断医师资格,从事呼吸内科临床工作20余年,在省级以上医学期刊发表学术论文10余篇。曾到广西医科大学一附院、广州呼吸健康研究所进修,多次到广州、上海等呼吸疾病诊疗高级研修班学习,擅长呼吸系统各种疾病的诊断和治疗,擅长慢性阻塞性肺疾病、肺心病、支气管哮喘、支气管扩张、间质性肺疾病、肺脓肿、肺部感染、胸腔积液等各种呼吸系统疾病的诊疗,尤其擅长呼吸内镜检查诊断以及经呼吸内镜各种介入治疗呼吸系统疾病,如电子支气管镜检查及经支气管镜肺活检、经支气管镜下介入手术、支气管肺泡灌洗术、经支气管镜引导经鼻气管插管等诊治技术。
陈婷
副主任医师
医学硕士,呼吸与危重症医学科二区主任,师从广西著名呼吸内科专家柳广南教授,擅长呼吸系统各种疾病诊疗,尤其擅长呼吸衰竭,肺栓塞等急危重症抢救诊疗,肺部阴影诊疗,气管镜下介入诊疗,肺穿刺活检,睡眠呼吸疾病的诊疗等。曾多次到区内外学习进修。从事呼吸内科临床工作多年,具有丰富的临床经验。
曾德福
副主任医师
重症医学科一区主任、兼呼吸与危重症医学科-内科与呼吸危重症病房主任,2011年通过中华医学会重症医师资质认证,钦州市医学会重症医学分会委员,曾先后到北京埠外医院、广东省人民医院重症医学科进修学习,参与多项临床科研工作,发表核心期刊学术论文4篇。长期从事急危重症、急诊科等临床教学和科研工作,尤其擅长于各种急危重病症、脑卒中、心脑血管疾病等的诊断和治疗。对院前急救、休克、血流动力学监测、机械通气等抢救具有丰富的临床经验和急救技术水平。
熊泽忠
副主任医师
何绍玲
副主任医师
呼吸内科硕士研究生。在呼吸系统疾病如急、慢性支气管炎、慢性阻塞性肺疾病、慢性肺源性心脏病、支气管哮喘、呼吸系统感染性疾病、胸腔积液、气胸、支气管扩张症、咳血、肺栓塞、呼吸衰竭等积累了丰富的临床经验。熟练掌握呼吸内科的急危重症的抢救技术。擅长纤支镜检查技术及纤支镜下介入治疗、内科胸腔镜检查技术及内科胸腔镜下进行胸膜疾病治疗;善于运用支气管镜对支气管内膜结核、气管支气管良、恶性肿瘤及良、恶性气道狭窄等疾病的介入治疗(包括纤支镜下高频电灼、经纤支镜下球囊扩张术、纤支镜下冷冻治疗等) ;善于运用纤支镜进行肺泡灌洗、纤支镜下肺活检、纤支镜下气管插管等。
黄婷婷
副主任医师
呼吸与危重症医学科三区副主任,研究生学历,曾到国家呼吸健康研究院进修,吸收名医精华,师从钟南山院士团队。同时为职业病主检及职业尘肺病诊断医生。擅长呼吸系统感染、间质性肺疾病、肺血管疾病、慢性阻塞性肺疾病、支气管哮喘、支气管扩张症、呼吸衰竭、肺肿瘤等常见、疑难疾病诊治及气管镜下肺泡灌洗、活检、经皮肺穿刺,胸腔镜,无创呼吸机使用等。

END
文 | 黄婷婷
扫一扫 手机端浏览