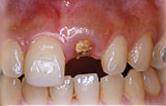
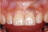
即刻种植牙,顾名思义就是在短时间内完成种植牙的过程。即刻种植牙是指在拔牙后立即在新鲜拔牙创口内植入种植体,几十分钟即可完成种植体植入术。术后三个月后若骨组织结合良好即可取模做牙冠。(如下图)

种植前的残根

即可拔牙种植后

三个月修复后效果
那么,即刻种植牙与传统种植牙相比有哪些优点呢?
优点一:即刻种植牙的要求特别高,主要是针对单根、无感染的牙根。
即刻种植牙使用特殊的微创拔牙器械,充分保存患者的现有骨量情况下,在拔出患牙同时植入人工牙根,具有节省就诊时间、减少痛苦、种植效果好等特点。但必须选择适当的适应症才可以应用。
优点二:即刻种植牙时间短。
即刻种植牙无须等待拔牙创口愈合即可立即修复早期恢复咀嚼功能,即刻种植牙减少了手术次数,同时,即刻种植牙缩短了治疗时间。
优点三:即刻种植牙有利于保持牙龈的形态,获得理想的美学效果。
优点四:即刻种植牙有效的减少牙槽骨的生理性吸收。
即刻种植牙避免了由此造成的种植区骨量不足而进行的大的植骨或重建,避免因拔牙而发生的废用性萎缩,使骨丧失达到最小程度。
(口腔科 姜美鹏)